Pathologický seminář

Seminární patologické případy

1

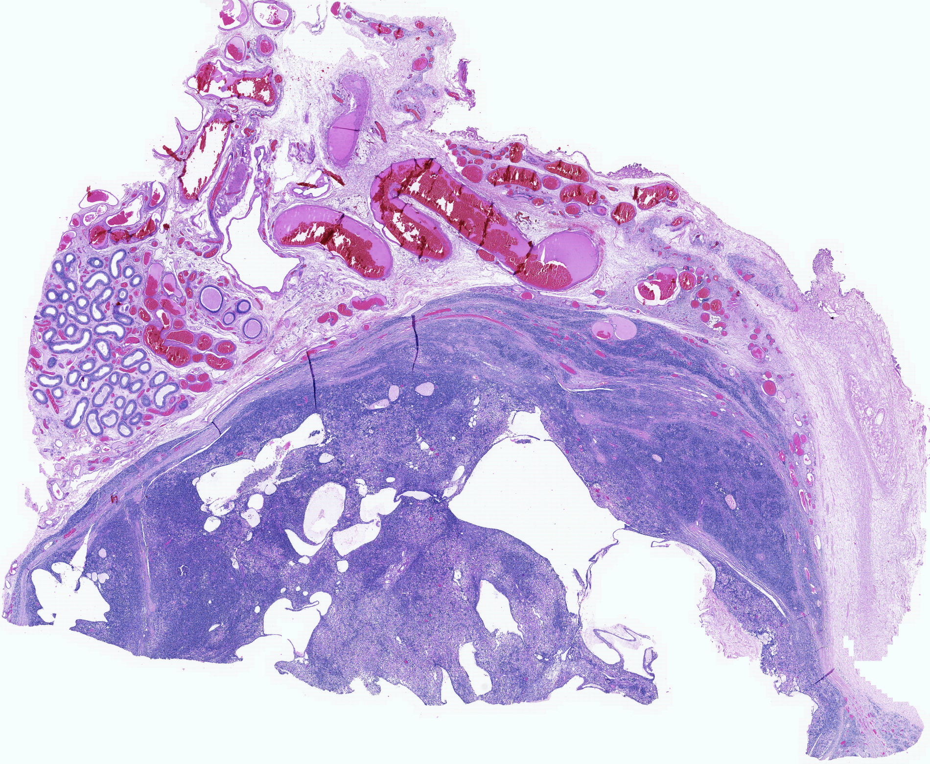
Seminární případ č. 1

11450/25, muž 21 let radikální orchiectomie vlevo pro tumor.

Prezentuje MUDr. Matoušková
Case 1
2

Seminární případ č. 2

C2653/24, Muž, 58 let, ascites při cirhóze.
 

Prezentuje MUDr. Matoušková
Case 2
3

Seminární případ č. 3

PB 691/25, žena 30 let, tumor pravého ovaria.
 

Prezentuje MUDr. Said
Case 3
4

Seminární případ č. 4

15971/24, žena 34 let, tumor baze lební
 

Prezentuje MUDr. Múčková
Case 4
5

Seminární případ č. 5

2355/25, muž, 50 let, lipom Th4-6.
 

Prezentuje MUDr. Chovancová
Case 5
6

Seminární případ č. 6

BB 2664/25, muž 60 let, tumor stěny břišní.
 

Prezentuje: MUDr. Vlažný
Case 6
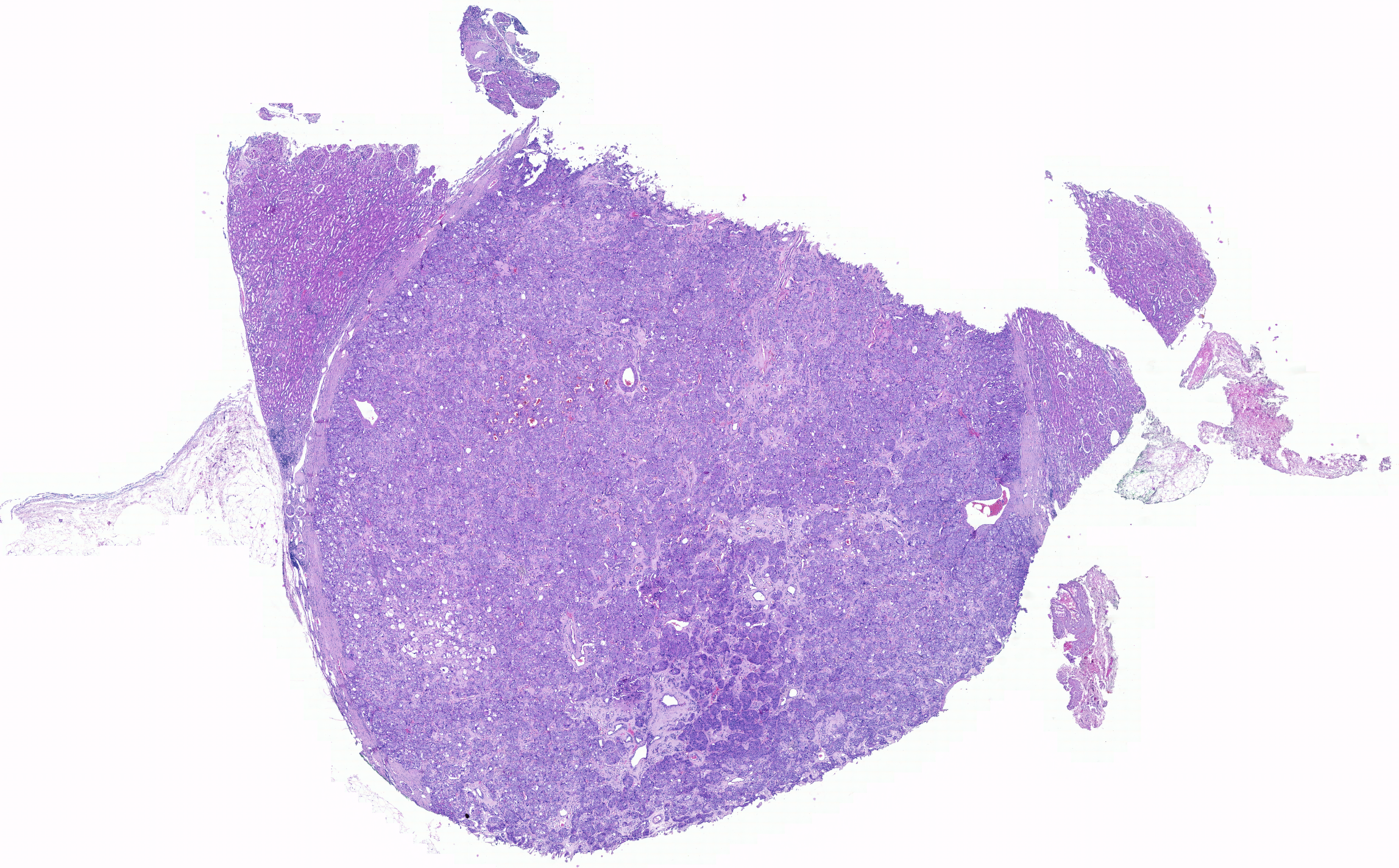
7

Seminární případ č. 7

9338/25, muž, 47 let, tumor ledviny.
 

Prezentuje: MUDr. Frola
Case 7
8

Seminární případ č. 8

5589/24 žena 74 let, tumor měkkého patra.
 

Prezentuje: MUDr. Macháček
Case 8
9

Seminární případ č. 9

10314/24, 68lety muž s cystickou rezistencí 62x50x48 mm při vstupu do třiselneho kanálu.

Prezentuje: Doc. MUDr. Lenz, PhD.
Case 9
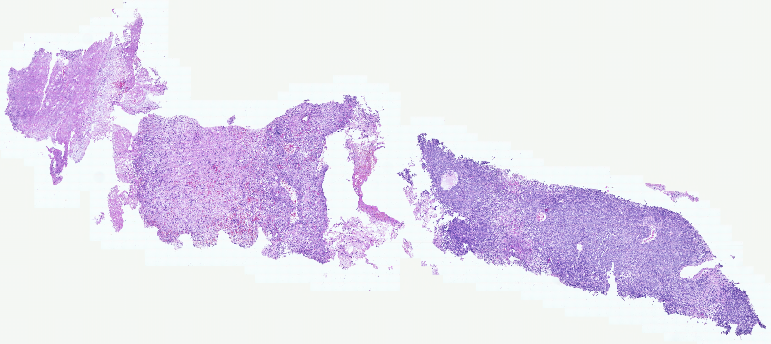
10

Seminární případ č. 10

Mladá žena (38 let) s tumor transversálního výběžku 12. obratle. (HE)

Prezentuje: MUDr. Delongová
Case 10
11

Seminární případ č. 10

Mladá žena (38 let) s tumor transversálního výběžku 12. obratle. (PAS)

Prezentuje: MUDr. Delongová
Case 11